縦隔腫瘍

縦隔腫瘍(じゅうかくしゅよう)

縦隔(じゅうかく)とは

肺の構造

縦隔とは、左右の肺の間に存在する領域の名前です。背側は脊椎(せきつい:背骨のこと)、腹側は胸骨までであり、下縁は横隔膜(おうかくまく)となっています。
横隔膜は胸と腹を境界する(横に隔てる)筋肉であり、胸を左右に隔てる(縦に隔てる)領域は縦隔と名付けられています。この縦隔には、大血管、心臓、食道、気管などの大事な臓器が存在し、その他、胸腺(きょうせん)やリンパ節・胸管(きょうかん)・リンパ管、神経などが存在します。
呼吸器外科では心臓や食道の疾患を除いた縦隔の病気を対象としています。
尚、縦隔の位置により、さらに上縦隔(じょうじゅうかく)、前縦隔(ぜんじゅうかく)、中縦隔(ちゅうじゅうかく)、後縦隔(こうじゅうかく)に分類されます。

縦隔腫瘍とは

主に、縦隔にある腫瘍や胸腺疾患などを扱います。 縦隔の位置によって、できやすい腫瘍が異なっています。

縦隔腫瘍とは

縦隔腫瘍で発生頻度がもっとも多いものは、胸腺から発生する腫瘍です。その他、リンパ節や神経から発生する腫瘍や、先天性(生まれたときからある)嚢胞(のうほう:袋状の良性病変)も含め、おおよそ下記のようなものがあります。

1. 胸腺腫・胸腺がん

胸腺とは
胸腺の位置

リンパ球と上皮細胞(じょうひ:表面を覆う組織や分泌を行う腺細胞など)からなる組織で、免疫機能の中心を担っています。思春期までは増大しますが、その後は退縮して脂肪組織に置き換わります。

全縦隔腫瘍のうち、胸腺腫は約40%を占め、胸腺がんは約6%程度とされています。

胸腺腫とは

病因はまだはっきりとわかっていませんが、胸腺から発生する低悪性腫瘍で、進行は緩徐ですが、転移や局所の再発を認めることがあります。また症例によっては、周囲へ浸潤するものも認めます。

症状

一般的には自覚症状は少なく、偶然発見されることが多いです。腫瘍が大きくなると、胸痛や咳嗽などの症状が出現することがあります。

分類
組織分類

WHO(世界保健機関)の組織分類が用いられており、予後や悪性度をよく反映しています。

タイプA 紡錘形~卵円形の充実性でリンパ球はほとんど認めない。被膜を有し、良好な臨床経過をたどる。
タイプAB タイプAと同様の形態だが、リンパ球の少ない部分と未熟なリンパ球が豊富な部位が混在している。腫瘍内に線維性隔壁を有する。
タイプB1 豊富なリンパ球の中に、胞体の明るい類円形から多角細胞が存在する。
タイプB2 タイプB1よりリンパ球は少なく、腫瘍成分が明らかになる。
タイプB3 タイプB2よりさらにリンパ球は少なく、ほとんど上皮成分からなる。

*まれな胸腺腫として、リンパ性間質を伴う小結節性胸腺腫、化生性胸腺腫、顕微鏡的胸腺腫、硬化性胸腺腫、脂肪線維腺腫などがある。

病期分類

正岡分類が用いられています。

正岡分類

病期  
Ⅰ期 肉眼的に完全に被包化されている。
Ⅱ期 周囲の胸腺、縦隔の脂肪組織、縦隔胸膜への浸潤。
Ⅲ期 周囲臓器への浸潤があるもの(心膜、肺、大血管など)。
Ⅳa期 胸膜播種あるいは心膜播種。
Ⅳb期 リンパ行性あるいは血行性に転移を認めるもの。
特有の合併症

重症筋無力症、赤芽球癆、低γ(ガンマ)グロブリン血症(特に気道感染を繰り返すものはGood症候群と呼ばれています。)などがあります。
重症筋無力症の症状として、眼瞼下垂(がんけんかすい)、筋力低下、易疲労感、脱力、嚥下障害が見られます。その他、貧血(赤芽球癆:せきがきゅうろう)で発見されることもあります。

治療

治療の基本は腫瘍の完全切除です。重症筋無力症を伴う場合は、前縦隔の脂肪内にも異所性(いしょせい)の胸腺が含まれ、胸腺腫内の未熟リンパ球や胸腺の胚中心とよばれる部位が重症筋無力症の発生に関与していると考えられているため、腫瘍と胸腺、周囲の脂肪組織を一塊として切除する拡大胸腺・胸腺腫摘出術が行われます。重症筋無力症を伴わない胸腺腫では、拡大胸腺・胸腺腫摘出術に準じて手術が行われますが、正常胸腺組織を含めた腫瘍の切除のみで十分な場合や胸腺腫のみ切除する場合もあります。進行胸腺腫では、ADOC療法(シスプラチン、ドキソルビシン、シクロフォスファミド、ビンクリスチン)を始めとした化学療法を行ったり、ステロイド治療を行うこともあります。また、放射線治療を行うこともあります。

予後

胸腺腫の5年生存率は85%~90%とされており、10年生存率も70%程度あるとされています。播種(はしゅ:胸の中に腫瘍がちらばること)があっても、積極的な手術療法を行うことで、治療効果が得られることがあり、腫瘍の減量手術も有効なことがあります。

胸腺がんとは

胸腺上皮細胞から発生する悪性腫瘍であり、転移・再発を起こします。胸腺腫に比べて予後は悪く、5年生存率は50%程度とされています。10年生存率は25%程度となります。

病期分類

世界保健機関(WHO)のTNM分類を用います。

T 原発腫瘍 N 所属リンパ節 M 遠隔転移
TX:原発腫瘍が判定できない    
T0:原発腫瘍を認めない N0:転移なし M0:遠隔転移なし
T1:完全に被膜に覆われている N1:前縦隔リンパ節転移 M1:遠隔転移あり
T2:被膜外の結合組織に浸潤 N2:前縦隔以外の胸腔内のリンパ節転移  
T3:心膜、縦隔胸膜、胸壁、大血管、肺などの周囲の臓器へ浸潤 N3:斜角筋あるいは鎖骨上リンパ節転移  
T4:胸膜播腫や心膜播腫    
治療

完全切除できるかどうかが予後を左右するため、可能な限り完全切除を目指します。術後には放射線治療を行うことも基本としています。手術療法が選択できないときは放射線治療や化学療法を組み合わせます。決まった化学療法はありませんが、胸腺腫や肺がんに準じた化学療法などが選択されています。その他の胸腺上皮性の悪性腫瘍として、神経内分泌腫瘍、混合型胸腺上皮性腫瘍などがあります。

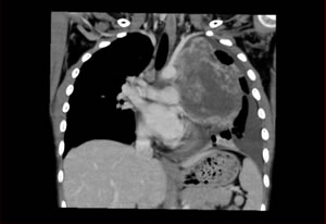
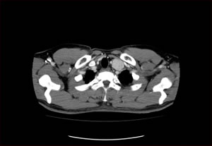
CT画像
CT検査

上の画像のように、被膜をもった胸腺腫では、周囲の臓器への浸潤はありませんが、 胸腺がんでは周囲の血管や気管等、重要な組織に浸潤して増大してしまいます。

2. 胚細胞性(はいさいぼうせい)腫瘍

性腺以外から発生する腫瘍の一つで、全縦隔腫瘍の約5%を占めています。奇形腫(きけいしゅ)に代表される、臨床的に良性である腫瘍と、精上皮腫(セミノーマ)や非セミノーマに代表される悪性腫瘍があります。

奇形腫

良性の腫瘍ですが、嚢胞状になっていることも多く、自己消化等で穿孔を起こし、発熱や内容物(毛髪など)を喀出(かくしゅつ:痰などにまじってだすこと)等自覚症状を起こすことがあり、手術の適応があります。
成熟奇形腫と未熟奇形腫に分類されています。

奇形腫
奇形腫が肺に穿破したCT画像

良性の腫瘍ですが、腫瘍が破れて、肺に穿孔して腫瘍の内容物が肺に侵入することがあります。このため、重篤な症状を引き起こしてしまうこともあります。

セミノーマ

化学療法や放射線治療の感受性が高く、予後も良好といわれています。

非セミノーマ

胎児性がん、がん奇形腫、卵黄嚢がん、絨毛がん等があります。
化学療法を行って縮小させたのちに、切除が可能であれば手術療法が選択されることがあります。

卵黄嚢がんのCT画像
卵黄嚢がんのCT画像
胚細胞性腫瘍の解説

胚細胞性腫瘍は若い男性に多いといわれています。 その中で、セミノーマは比較的予後が良好とされています。

3. リンパ系腫瘍

悪性リンパ腫はWHO分類より①Hodgikinリンパ腫②B及びT前躯細胞腫瘍③成熟B細胞腫瘍(多発性骨髄腫、MALTリンパ腫等含む)④成熟T及びNK細胞腫瘍に分類されます。治療の中心は化学療法ですが、成熟B細胞性腫瘍に分類されるMALTリンパ腫(marginal zone B-cell lymphoma of mucosa-associated tissue)は手術療法が適応されることがあります。またCastleman病(腫瘍)では、限局(げんきょく:その場所だけにあること)している場合は手術適応となります。全縦隔腫瘍の約4%程度を占めています。

MRI画像
限局型Castleman腫瘍のCT画像
リンパ系腫瘍

限局型と多中心型に分類され、限局型は手術療法の適応があり、多中心型は抗IL-6受容体抗体であるトシリズマブ(アクテムラ®)という薬を使います。

4. 神経原性腫瘍

神経節細胞由来の腫瘍と、神経線維由来の腫瘍に分類されます。全縦隔腫瘍の12%程度を占めており、後縦隔に発生する代表的な腫瘍です。脊椎に近い場所に発生することも多く、整形外科と協力して手術を行うこともあります。
良性腫瘍として神経節細胞腫、神経節芽細胞腫、神経芽細胞腫(神経芽腫)、褐色細胞腫、神経線維腫、神経鞘腫などがありますが、悪性神経鞘腫、悪性神経線維腫などもあります。

5. 先天性嚢胞

全縦隔腫瘍の20%弱を占める袋状の病変であり、まれにがんの発生母地(はっせいぼち:発生源)になったり、炎症を起こして症状を来たしたりすることもあります。そのため、手術療法が考慮されますが、明らかに嚢胞と考えられる小病変の場合は、経過観察されることもあります。
発生部位によって、気管支原性(きかんしげんせい)嚢胞、胸腺嚢胞、食道嚢胞、心膜嚢胞、胸管嚢胞などが報告されています。

先天性嚢胞のCT画像
先天性嚢胞

良性の嚢胞性疾患であっても、非常に大きかったり、炎症を起こしたりしてしまうと、症状を伴うこともあり、注意が必要です。

6. 甲状腺腫

頚部に存在する甲状腺が発生母地である腫瘍ですが、腫瘍の一部、または全部が縦隔に存在することがあり、全縦隔腫瘍の約2%程度を占めます。上縦隔腫瘍の代表であり、耳鼻科と協力して手術療法を行うことがあります。副甲状腺から発生する、副甲状腺腫もあります。

7. その他の腫瘍

血管腫、リンパ管腫、脂肪腫、線維腫、孤立性線維性腫瘍(SFT:solitary fibrous tumor)など縦隔には様々な腫瘍が発生します。まれな疾患ですが、悪性線維性組織球腫(MFH:malignant fibrous histiocytoma)や悪性SFTなどもあります。MFHは、①花むしろ状多形型②粘液型③巨細胞型④炎症型に分類されていましたが、新しいWHO分類では粘液型は粘液線維肉腫として、線維肉腫・低悪性度線維粘液性肉腫・硬化性類上皮型線維肉腫などの仲間に分類され、その他のMFHは分類不能な多形肉腫に分類されました。

腫瘍のCT画像

縦隔腫瘍の診断と治療方針

検査

CT検査

胸部単純X線写真を始め、CTやMRI、PET検査等を行い、腫瘍の位置や大きさ、周囲の臓器への浸潤(しんじゅん:隣接する組織に侵入すること)などを判断します。一部の縦隔腫瘍を除いて、治療方法は手術による摘出となりますので、大血管や心臓・肺、その他重要臓器との関係を把握し、摘出可能かどうか調べます。
その他補助的に腫瘍マーカー等の採血を行います。

縦隔腫瘍は一般的に気管支鏡や胃カメラによる生検(せいけん:組織を採取して検査にだすこと)は困難なことが多く、CTガイド下に生検を行ったり、経皮的生検(皮膚を切って、組織をとること)、縦隔鏡や胸腔鏡を用いて生検を行い、診断をつけます。ただし、完全摘出が可能な腫瘍の場合は、診断的治療として手術療法を優先して行うことがあります。

腫瘍マーカーとしてAFP、HCG-β、CEAなどがあります。AFPは特に卵黄嚢がん、胎児性がんで上昇し、HCG-βは特に絨毛(じゅうもう)がん、セミノーマ、胎児性がんで上昇します。CEAは特異的(とくいてき)なものではありませんが、上昇することが多いマーカーです。 悪性リンパ腫ではsIL2-R(可溶性IL-2受容体)を測定します。重症筋無力症では抗アセチルコリン受容体抗体などを測定します。

ドクター

治療法

 縦隔腫瘍の基本的な治療法は手術療法です。当科では腫瘍の種類、周囲への浸潤や位置等を詳細に把握し、手術を行っております。また、重症筋無力症に対する胸腺摘出術は、通常胸骨正中切開による開胸手術でおこなってきましたが、近年は、胸腔鏡下の拡大胸腺摘出術を行うこともあります。さらに大血管等に浸潤する腫瘍の場合には、完全切除するために、心臓血管外科と協力し、人工心肺や血管置換術等を用いたり、耳鼻科や整形外科と協力して手術を行っています。また、ロボット支援内視鏡手術(da Vinci)の臨床試験を開始しており、最新で最良の治療を提供できるように努めています。
悪性リンパ腫では、化学療法(抗がん剤)の効果が高く、標準治療法が提唱されていますので、それに基づき血液内科で治療を行っています。胚細胞性腫瘍では、化学療法や放射線治療が有効であり、その効果を評価した結果で、手術療法を行うことがあります。手術療法が困難な場合や再発症例では様々な抗がん剤を併用して治療を行い、放射線治療を組み合わせて治療を行うことがあります。

  • 放射線治療:悪性リンパ腫、浸潤性胸腺腫、悪性甲状腺腫瘍、胚細胞性腫瘍などで行われます。また術後に放射線治療を追加したり、術前に放射線治療を行ったりして手術に臨むこともあります。
  • 化学療法:いくつかの抗がん剤を組み合わせて治療を行います。
    1. PAC療法(シスプラチン、ドキソルビシン、シクロフォスファミド)
    2. ADOC療法(シスプラチン、ドキソルビシン、シクロフォスファミド、ビンクリスチン)
    3. CAMP療法(シスプラチン、ドキソルビシン、メチルプレドニゾロン)
    4. PE療法(シスプラチン、エトポシド)
    5. VIP療法(PE療法+イフォスファミド)
    6. BEP療法(PE療法+ブレオマイシン)

その他、ネダプラチン、カルボプラチン、ドセタキセル、パクリタキセル、ゲムシタビンなどやステロイド等を用います。

悪性リンパ腫の治療は主に血液内科で行われています。 診断のための生検、手術を当科が担当することがあります。

化学療法